Anti-aging skincare

Anti-aging skincare refers to a range of products and practices designed to reduce the visible signs of aging on the skin, such as wrinkles, fine lines, sagging, and uneven skin tone. These signs of aging are often caused by factors like sun exposure, genetics, lifestyle, and the natural aging process. Anti-aging skincare aims to promote […]
Telogen Effluvium Hair Treatment by Dr. Shailesh Singh – Best Skin Doctor in Varanasi

Telogen effluvium is a common reason for sudden hair fall. It occurs when more hair than usual enters the resting phase of the hair cycle. Many people visit Dr. Shailesh Singh – best skin doctor in Varanasi to understand the cause and get proper treatment for faster recovery. What Causes Telogen Effluvium This condition usually […]
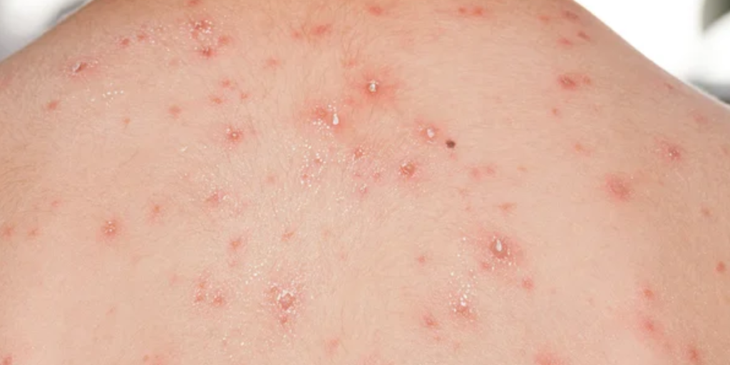
Chicken Pox (Varicella) Treatment by Dr. Shailesh Singh – Best Skin Doctor in Varanasi

Chicken pox, also called varicella, is a viral infection that causes an itchy rash and fluid-filled blisters. Because it spreads easily and can cause discomfort, many families prefer consulting Dr. Shailesh Singh – best skin doctor in Varanasi for safe and effective treatment. What Causes Chicken Pox The condition is caused by the varicella-zoster virus. […]
Molluscum Contagiosum Treatment by Dr. Shailesh Singh – Best Skin Doctor in Varanasi

Molluscum contagiosum is a viral skin infection that forms small, smooth bumps on the skin. It spreads easily through touch or shared personal items, which is why many patients prefer consulting Dr. Shailesh Singh – best skin doctor in Varanasi for quick diagnosis and proper care. What Causes Molluscum Contagiosum The infection comes from the […]
Seborrheic Dermatitis Treatment: Expert Care by Dr. Shailesh Singh – Best Skin Doctor in Varanasi

Seborrheic dermatitis is a common condition that causes redness, itching and flaky skin on areas like the scalp, eyebrows and sides of the nose. It can be frustrating to manage on your own, which is why many patients trust Dr. Shailesh Singh – best skin doctor in Varanasi for accurate diagnosis and long-term relief. What […]
Wart Treatment by Dr. Shailesh Singh – Best Skin Doctor in Varanasi.

Warts are small, rough skin growths caused by the human papillomavirus (HPV). They can appear on the hands, feet, face or any part of the body. Although they are usually harmless, they can spread, become painful or affect your confidence. Many patients prefer consulting Dr. Shailesh Singh – best skin doctor in Varanasi for safe […]
Vitiligo Treatment by Dr. Shailesh Singh – Best Skin Doctor in Varanasi.

Vitiligo is a skin condition where white patches appear when pigment cells stop working. It can affect any part of the body and may spread over time. Many patients look for reliable and long-term care, which is why consulting Dr. Shailesh Singh – best skin doctor in Varanasi is helpful for accurate diagnosis and personalised […]
Urticaria / Allergy Treatment by Dr. Shailesh Singh – Best Skin Doctor in Varanasi.

Urticaria, or hives, is a skin reaction that shows up as red, itchy welts. It can appear suddenly and may last from minutes to several hours. Many people struggle with recurring allergies, which is why consulting Dr. Shailesh Singh – best skin doctor in Varanasi helps in understanding the exact cause and getting long-term relief. […]
Psoriasis Treatment by Dr. Shailesh Singh – Best Skin Doctor in Varanasi.

Psoriasis is a long-term skin condition that causes red, itchy and scaly patches. It can affect your confidence and daily routine, but the right treatment can make a big difference. Many patients prefer consulting Dr. Shailesh Singh – best skin doctor in Varanasi for personalised care and long-term management. What Causes Psoriasis Psoriasis happens when […]
Melasma / Pigmentation Treatment by Dr. Shailesh Singh – Best Skin Doctor in Varanasi.

If you’re dealing with dark patches on your face, uneven skin tone or stubborn pigmentation, you’re not alone. Melasma is a common skin condition, especially among women, and it often becomes worse due to sun exposure, hormonal changes or stress. Getting the right treatment matters, and consulting Dr. Shailesh Singh – best skin doctor in […]
Fungal Infection (Tinea) Treatment Guide by Dr. Shailesh Singh – best skin doctor in Varanasi.

Fungal infections, also known as tinea or ringworm, are common in warm and humid climates. They often lead to red, itchy, or circular patches that can spread quickly if not treated properly. With expert care from Dr. Shailesh Singh – best skin doctor in Varanasi, you can control itching, clear the infection, and prevent it […]